
تبرز الجنين و الطفل خلال الولادة
استنشاق العقي عند الجنين
تعقي السائل الامنيوسي
عقي داخل الرئة
استنشاق العقي عند الولادة
متلازمة استنشاق العقي لدى حديثي الولادة
تبرز الجنين داخل الرحم قبل الولادة
تبرز الطفل خلال الولادة
دخول عقي داخل القصبات للمولود
أسباب,أعراض,تشخيص,علاج
MECONIUM ASPIRATION SYNDROME
تنتج رئة الجنين سائلاً يجري خارج الرئتين و يساهم في تشكيل السائل الأمنيوسي .
إن حركات التنفس عند الجنين ليست ذات قوة كافية لسحب السائل الأمنيوسي إلى الشجرة التنفسية . و لكن نقص الأكسجة عند الجنين قد يحرض مرور العقي من الطريق الهضمي السفلي إلى السائل الأمنيوسي (تبرز الجنين داخل الرحم ), و مع الاختناق و الحماض الجنيني الشديد فإن منعكس اللهاث gasp عند الجنين قد يولد قوة كافية لسحب العقي إلى الرئة
يتداخل استنشاق العقي مع تبادل الغازات و يسد الطرق الهوائية بآلية الدسام ذي الكرة مما يؤدي إلى عدم توافق التهوية - الإرواء مع حدوث استرواح الصدر (الريح الصدرية ).
يزيد نقص الأكسجة الحماض الناجمين المقاومة الوعائية الرئوية Shunt من الأيمن للأيسر عبر الثقبة البيضية السالكة أو عبر القناة الشريانية أو كليهما في القلب . تسيء هذه التحويلة أكثر لنقص الأكسجة و الحماض الناجمين عن الاستنشاق مما يؤدي إلى حلقة معيبة من زيادة معينة من زيادة الضغط الشريني الرئوي و العسرة التنفسية و الزرقة و هذه السلسة من الحوادث قد تحدث دون استنشاق العقي كنتيجة أولية لنقص الأكسجة المزمن عند الجنين , و تعرف باسم فرط التوتر الرئوي المستمر PersistentPulmonary hypertension .
جميع الحقوق محفوظة - عيادة طب الأطفال Copyright ©childclinic.net
ما هي الحالات التي يحدث فيها استنشاق العقي لدى الجنين و حديث الولادة ؟
الحالات التي يحدث فيها استنشاق العقي داخل الرئتين لدى الجنين و حديث الولادة هي :
-
الحمل الطويل و المديد : يزداد خطر استنشاق العقي بشكل ملحوظ عند رضع الحمل المديد Postmature
-
نقص وزن الجنين : حديثي الولادة و الولدان الذين يعانون من فشل النمو داخل الرحم ,
-
قصور المشيمة : في كلتا الحالتين السابقتين يوجد قصور مشيمي كسبيل مشترك لنقص الأكسجة عند الجنين .
-
المجئ المقعدي : يحدث لدى الرضع الذين يولدون بالوضعية المقعدية Breech (المجئ المقعدي )زيادة خطر وجود العقي في السائل الأمنيوسي .
جميع الحقوق محفوظة - عيادة طب الأطفال Copyright ©childclinic.net
ما هي أعراض و علامات استنشاق العقي لدى الجنين و حديث الولادة ؟
أهم أعراض و علامات استنشاق العقي لدى الجنين و حديث الولادة هي :
-
التهاب الرئة الناجم عن استنشاق العقي
-
تسرع التنفس عند حديث الولادة
-
نقص الأكسجة عند حديث الولادة
-
فرط الكاربمية Hypercapnia .
جميع الحقوق محفوظة - عيادة طب الأطفال Copyright ©childclinic.net
كيف يتم تشخيص متلازمة استنشاق العقي لدى حديث الولادة ؟
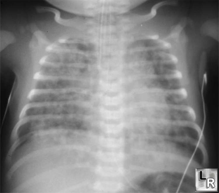
يتم تشخيص متلازمة استنشاق العقي لدى حديث الولادة من خلال الأعراض و العلامات , و يؤكد التشخيص بوجود العقي في الرغامى أو السائل الأمنيوسي بالإضافة إلى وجود أعراض الضائقة التنفسية و موجودات صورة الصدر التي تظهر نمط الارتشاحات المنتشرة مع فرط الانتفاخ .
يتطور استرواح الصدر (الريح الصدرية ) عند 10% من الرضع الذين لديهم متلازمة استنشاق العقي .
جميع الحقوق محفوظة - عيادة طب الأطفال Copyright ©childclinic.net
ما هو علاج متلازمة استنشاق العقي لدى حديث الولادة ؟
في الحمول التي يكون فيها القصور الرحمي المشيمي مؤكداً أو مشتبهاً يجب إجراء الفحوص الخاصة بسلامة الجنين مثل:
-
اختبار اللاشدة
-
البروفيل الحيوي الفيزيائي
-
مراقبة الجنين
-
عينة PH من فروة رأس الجنين
و ذلك للمساعدة على التعرف على أولئك الرضع المعرضين لخطورة عالية لحدوث استشاق العقي .
عندما يلاحظ وجود العقي يجب على الطبيب المولد القيام بالمص من البلعوم الفموي قبل ولادة الصدر (و قبل أخذ النفس الأول من قبل المولود) .
و بعد الولادة إذا كان الطفل مثبطاً يتم إظهار الحبلين الصوتيين بتنظير الحنجرة المباشر و إدخال أنبوب رغامي في الوقت الذي يتم فيه سحبه ببطء . تكرر هذه العملية إذا استخرجت كمية هامة من العقي .
إذا أظهر حديث الولادة جهداً تنفسياً ضعيفاً فيتم دعمه بالقناع ذي الكيس و الدسام Bag-valve mask .أما حديث الولادة الذي يبدو نشيطاً مباشرة عند الولادة فلا يحتاج للتنبيت لكن يجب إجراء المص روتينياً من البلعوم الفموي .
إذا حدث استنشاق العقي و كان الطفل حديث الولادة بحالة ضائقة تنفسية فإن المعالجة تتكون من إعطاء الأكسجين و /أو التهوية الميكانيكية .
يقوم العقي بتعطيل السورفاكتانت داخلي المنشأ لذلك فإن إعطاء السورفاكتانت قد يكون مفيداً .
تتعلق شدة المرض بكمية العقي التي استنشقها الرضيع و شدة فرط التوتر الرئوي الموجود الناجم عن الاختناق قبل الولادة .
و في حالة نقص الأكسجة المستمر . (L50<Pao2 ملم زئبقي ) أو فرط الكاربمية الشديد ( D60<PCo2 ملم زئبقي ) فيستطب التنبيت و التهوية الميكانيكية .
إذا استمر نقص الأكسجة الشديد مع التهوية التقليدية فمن المحتمل وجود فرط التوتر الرئوي المستمر PPHN , وقد يفيد في هذه الحالة استخدام التهوية بالتواتر العالي و / أو الأكسجة الغشائية خارج الجسم ECMO ...الدكتور رضوان غزال MD, FAAP- عن كتاب مبادئ طب الأطفال : ترجمة د. عماد محمد زوكار - دار القدس للعلوم - دمشق- جميع الحقوق محفوظة - عيادة طب الأطفالCopyright ©childclinic.net - آخر تحديث 11/10/2013
